Skip to main content

News

By Mallory Hackett | 11:56 am | September 23, 2021
The company’s stock took a nosedive yesterday after it filed an SEC document.  
By Laura Lovett | 11:41 am | September 23, 2021
The new tool gives users in-depth, vetted information based on medical research. 
By Sara Mageit | 10:41 am | September 23, 2021
The partnership aims to investigate the role genetics play in developing personalised cancer treatments
By Tammy Lovell | 07:41 am | September 23, 2021
The platform seeks to address sexual health inequalities.
By Adam Ang | 06:21 am | September 23, 2021
The partnership will see the deployment of the AI chest x-ray solution at 100 Sonic Imaging radiology clinics.
By Rachel McArthur | 05:51 am | September 23, 2021
According to a new report by the UAE’s Informa Markets and Omnia Health Insights, healthtech and value-based healthcare are more important than ever. But challenges remain.
By Adam Ang | 04:43 am | September 23, 2021
The health kiosk automatically dispenses medication to users after a doctor signs off on a prescription in a teleconsultation.
By Emily Olsen | 02:35 pm | September 22, 2021
The new clearance expands its insulin dosing support to bolus and premixed insulin titration for Type 2 diabetes.
By Laura Lovett | 12:53 pm | September 22, 2021
The Wall Street Journal reports that the work on the feature could be born out of collaborations with UCLA and Biogen. 
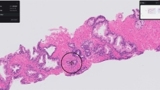
By Mallory Hackett | 12:51 pm | September 22, 2021
Paige Prostate analyzes digitized biopsy slides and identifies areas that could be cancerous for the pathologist to review further.